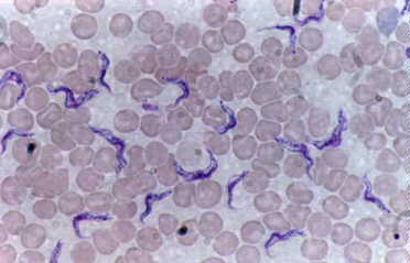
Trypanosoma

Produkte

DVD-ROM Zoologie

Umfassendes zoologisches Grundwissen
+ Bilder
+ Animationen
+ Audioausgabe
+ praktischer Teil!
+ Präparations-
   anleitung zu
   den Praktikums-
   tagen!
hier bestellen

 

Zoologie-
Klausurfragen
DVD-ROM

350 originale Klausurfragen im Multiple-Choice Quiz-System mit online Zertifikat
hier bestellen

Lernposterset Zoologie

gesammeltes theoretisches Anatomiewissen übersichtlichauf
zwei Postern
+ ein Extraposter mit den Parasiten
im Überblick!

Hier bestellen

Lernposterset Botanik

drei Poster mit zahlreichen histologischen Fotografien, Kennzeichen der wichtigsten Blütenpflanzen-
familien und einem völlig neuartigem systematischen Überblick über die Gefäßpflanzen
Hier bestellen

Systematik

theoretische Beschreibungen
der einzelnen Tiergruppen

>Kontakt<

lars_berner@zoologie -online.de

0177-3051725

>Impressum<

Volltext-Suche


powered by FreeFind

Unterreich: Protozoa:
Klasse: Flagellata
Ordnung: Kinetoplastida

Allgemein:
- das einzige Mitochondrium speist den
  Kinetoplasten, der wiederum die Bewegung
  des Flagellums initiiert

- Lebensweise:
  parasitisch

Beispiel:

Trypanosoma brucei gambiense

Der Parasit zeichnet sich durch eine ausgeprägte
Antigenvarianz (ständiger Wechsel der Oberflächenstruktur) aus. Dies hat zur Folge, dass der
Wirt nicht ständig neue Antikörper gegen die Oberflächenstrukturen produzieren kann.
Weiterhin weist sich das Tier durch Polymorphismus (Änderung der Gestalt) aus.

allgemein:
Krankheitsbezeichnung: Schlafkrankheit
Geographische Verbreitung: West-, Zentral- und Ostafrika
Vektor: Glossinen ( Tsetsefliege )
Pathologie: Abwehrreaktionen des Körpers führenzur Freisetzung von Toxinen aus den abgetöteten Tieren.
Vorkommen: Blut von Wirbeltieren
Symptomatik: u.a. Myokarditis
Inkubation: 2-3 Wochen
Verlauf: schleichender Beginn, chron. Verlauf,bis zu 3 Jahre